Orthodontics: Why see us for a free orthodontics consultation?
Worried about any crooked teeth? Worry no more. Orthodontics can deliver a straight, even smile. So why not make your smile one to remember with our teeth straightening solutions?

At the Cosmetic Dental Group, we can’t emphasise enough how much of a difference orthodontics can make to a smile. Straight and even smiles don’t just look and feel great, they benefit your overall oral health. Orthodontics offer a cosmetic solutions that are kind on your oral health and great for your confidence.
We offer free consultations about our orthodontic treatment so you can fully explore how a straight smile can make an impact on your life.
Why have braces?
A straighter smile can prevent gum disease and tooth decay
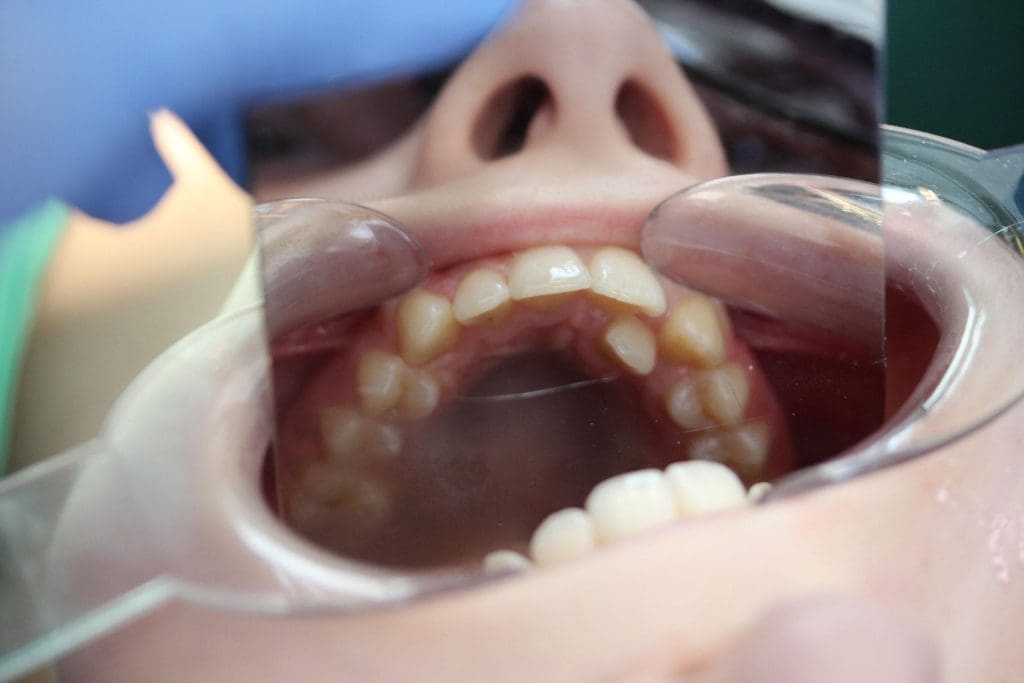
Crooked and misaligned teeth not only make people self-conscious about their smile, they also provide ideal spots for plaque and tartar to build up. If your toothbrush can’t reach the spot where crooked teeth overlap, chances are plaque is building up and bacteria is having a field day.
While a hygienist can clean these areas, bacteria will keep taking up residence in these concealed areas – increasing the risk of gum disease and tooth decay developing between visits.
A correctly aligned bite protects against tooth wear
Sometimes, trouble teeth in certain positions can affect the way both arches meet together. If the bite is out of position, it can put pressure on surfaces of the teeth that aren’t designed to take the impact. These can cause the surfaces to wear away and so cause tooth pain. Having a bite that’s aligned properly means your teeth can work together the way they are meant to.
An even smile is great for self-esteem and confidence
Many of our patients remark on how their confidence soared after having braces. We can use braces to great effect, removing gaps in the front teeth, addressing a slight overbite and correcting any crooked teeth. As one of the first things people notice about us is our smile, having straight teeth can set the perfect first impression.
Get on the path to a straighter smile with the Cosmetic Dental Group
We offer different orthodontic solutions to suit your lifestyle, concerns and budget. As orthodontics is an ever-evolving field of dentistry, there are many different options out there. We’ve selected the ones that we believe give the best results.
Fixed Braces
We can address a whole range of skeletal and functional problems with fixed metal braces. Traditional braces are the go-to for more complex treatment and offer incredibly precise results. We offer fixed braces to adults as well as children. Having orthodontic treatment to correct a crooked smile is longer lasting and more affordable than covering the problem with veneers.

Invisalign®
The household name of clear aligners, Invisalign offers a discreet and removable option to teeth straightening. Incredibly popular with adults and teens alike, Invisalign can gradually move teeth to the desired position while no one is any the wiser.
At the Cosmetic Dental Group, we have Invisalign providers who can adapt your treatment plan to your individual needs. We also offer 0% finance options if you’d prefer to spread the cost over more digestible payments. It’s entirely up to you.
Make the most of our expertise with free consultations
Our free consultations are perfect opportunities for you to talk to one of our skilled practitioners, Caroline or Stefano.
They’ll want to hear from you. After all, you know the most about your smile. They will talk through anything you’re unhappy with and would like to change.
They will show you our various appliances and talk through the costs, including our finance options.
If you’re happy to carry on with the treatment, we’ll then arrange for a full orthodontic assessment which will involve having x-rays, impressions and photographs. We’ll also want to check your oral hygiene as the healthier your mouth, the more effective the treatment.
Before

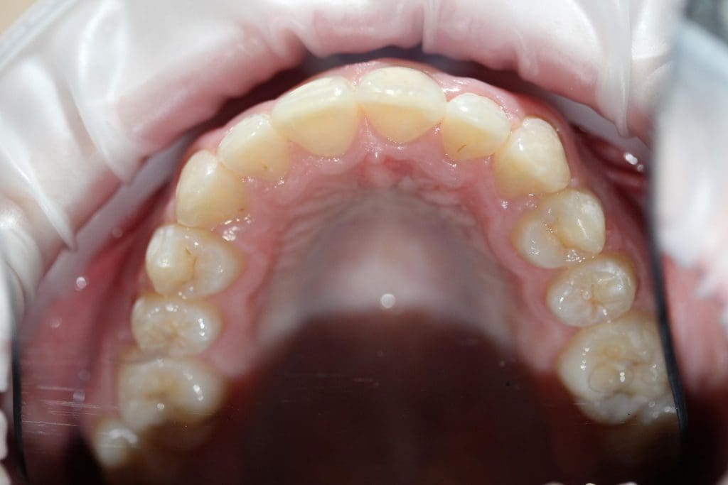
After

Before

After
